결핵 검사는 질병 예방에 필수적입니다.この記事では、結核検査の方法、費用、症状について詳細に説明します。
결핵 검사 개념
결핵 검사는 결핵균의 감염 여부를 확인하기 위한 중요한 과정입니다. 이는 일반적으로 초기 증상이 없을 때, 특히 비강염과 같은 기저질환이 있는 경우에 권장됩니다. 결핵 검사는 여러 방법으로 실시되며, 환자의 상태에 따라 적합한 방식이 선택됩니다. 결핵 검사는 특히 감염의 예방과 조기 발견을 통해 경제적인 부담을 줄일 수 있습니다. 더불어, 결핵으로 인한 사회적 비용 역시 줄일 수 있죠.

결핵 검사의 필요성은 날로 증가하고 있습니다. 특히 최근 들어 결핵 검사를 위한 인프라가 개선되고 있으며, 사람들이 검사에 대한 인식을 높이고 있습니다. 이는 결핵을 조기 발견하고 적시에 치료를 받을 수 있는 기회를 제공 합니다. 따라서, 결핵 검사에 대한 이해는 필수적입니다. 검사에 대한 두려움을 줄이고, 적극적으로 자신의 건강을 챙기는 것이 중요합니다.
결핵 검사는 증상이 나타나기 전에도 진행할 수 있으며, 가족이나 친구 중에 결핵에 감염된 사람이 있는 경우에도 필요한 조치입니다. 결핵 검사 방법은 크게 두 가지로 나눌 수 있습니다. 첫 번째는 피부 반응 검사, 두 번째는 혈액 검사입니다. 피부 검사에서 반응이 나타나면 추가적인 조사가 진행되곤 해요. 이러한 다양성 덕분에 상황에 맞는 적절한 검사를 선택할 수 있습니다.
상황에 따라 결핵 검사의 필요성이 달라질 수 있으며, 이는 특히 고위험군에 속하는 대상자에게 해당됩니다. 이러한 부분은 명확히 이해하고 있어야, 자신의 건강을 지키는 길이 될 것입니다. 결핵에 대한 경각심을 갖고 검사를 미루지 않는 것이 중요합니다.
결핵 검사 방법
결핵 검사 방법은 여러 가지로 나누어질 수 있습니다. 먼저, 가장 일반적인 피부 반응 검사인 투베르쿨린 검사가 있습니다. 이 방법은 손목 안쪽에 결핵균 단백질을 주입하고, 일정 기간 후 반응을 체크하는 방식입니다. 만약 반응이 나타나면, 추가 검사를 통해 결핵 확진을 받게 되죠. 이런 점에서 결핵 검사 방법은 간단하면서도 효과적입니다.
두 번째 방법은 혈액 검사, 특히 IGRA(인터페론 감작 검사)입니다. 이 방법은 빠르고 정확하게 감염 상태를 확인할 수 있습니다. 특히 결핵균의 항원에 대한 면역 반응을 측정하기 때문에, 잠복 결핵 감염 여부를 확인할 수 있는 장점이 있습니다. 또한, 이 검사는 검사 후 결과를 빠르게 받을 수 있어 많은 이들이 선호합니다.
결핵 검사 방법 선택은 환자의 상태에 따라 달라집니다. 예를 들어, 결핵에 대한 상처가 있는 환자라면 진단을 위해 추가적인 이미징 검사를 진행할 수 있습니다. 이러한 과정을 통해 결핵의 확진과 그에 따른 조치를 취할 수 있습니다. 이처럼 각 방법은 서로 보완하며, 보다 정확한 진단을 돕습니다.



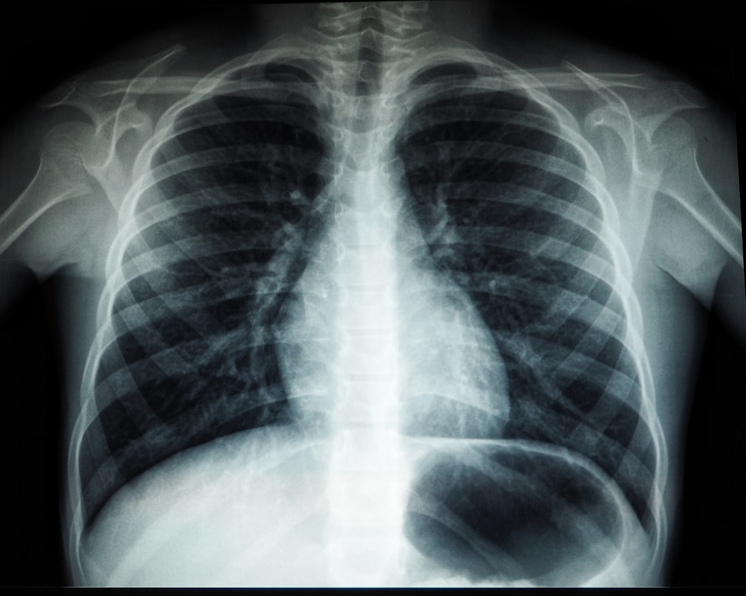
마지막으로, X-ray 등을 통한 영상 검사가 필요한 경우도 있습니다. 환자의 증상이나 검사 결과에 따라 다르게 결정할 수 있습니다. 결핵 검사 방법이 다양하니, 자신의 상황에 맞는 방법을 선택하여 진행하는 것이 바람직합니다. 결핵 검사 방식에 대한 이해가 깊을수록 더욱 적극적으로 자신의 건강을 지킬 수 있게 됩니다.
결핵 검사 비용
결핵 검사 비용은 검사 방법에 따라 크게 달라질 수 있습니다. 기본적인 피부 반응 검사나 혈액 검사는 일반적으로 1만 원에서 3만 원 사이의 비용이 듭니다. 그러나, 고급 시험이나 X-ray 검사 등 추가적인 검사를 포함할 경우 비용이 한층 상승할 수 있습니다. 이럴 경우에는 5만 원에서 10만 원까지도 소요될 수 있습니다. 결핵 검사 비용은 예방 의료의 중요성을 고려할 때 모두가 알아두어야 할 사항입니다.
해당 비용은 지역 보건소 또는 병원에 따라 차이가 있을 수 있으므로, 사전에 확인하는 것이 현명한 선택입니다. 특히, 여러분이 사는 지역의 보건소에서는 무료 혹은 저렴한 비용으로 결핵 검사를 받을 수 있는 기회가 많습니다. 이에 따라 지역 사회 건강관리 정책에 참여하는 것도 좋은 방법입니다.
더욱이, 검사 후 발급되는 결핵 검사 확인서에 따른 비용도 생각해야 합니다. 학교나 직장에서 요구하는 경우, 이를 미리 준비하는 것이 좋습니다. 확인서는 결핵 검사를 증명해 주는 중요한 서류로, 발급 비용도 함께 확인하는 것이 필요합니다.
또한, 인터넷을 통한 결핵 검사 확인서 인터넷 발급 서비스도 점점 현실화되고 있습니다. 이로 인해, 검사 후 결과를 쉽게 관리하고 재발급 받는 것이 가능해졌습니다. 이러한 편리한 서비스는 많은 사람들이 더 적극적으로 검사를 받을 수 있도록 돕고 있습니다.
결핵 증상
결핵의 증상은 다양한데, 일반적으로 기침, 발열, 체중 감소 등이 일어납니다. 이러한 증상은 초기에는 미미할 수 있어, 자칫 지나치기 쉽습니다. 그러나 시간이 지남에 따라 증상이 악화될 수 있으므로 주의가 필요하죠. 결핵 증상에 대한 경각심을 높이는 것이 매우 중요합니다.

특히, 기침이 3주 이상 지속될 경우 또는 피가 섞인 가래가 나오는 경우 즉시 검사를 받아야 합니다. 이러한 초기 신호를 간과하면, 결핵이 다른 사람에게 전파될 위험이 커지므로, 조기 발견이 매우 중요합니다.
또한, 어린이나 노인에게서는 이러한 증상이 더욱 미약하게 나타날 수 있습니다. 그러므로 결핵 검사는 어린이집이나 학교에 다니는 어린이들 역시 중요한 예방 조치로 받아들여져야 합니다. 감염이 의심되는 경우 즉시 검사를 받는 것이 바람직하도록 다 함께 노력해야겠죠.
결핵을 예방하기 위해서 건강기능식품이나 면역력이 강한 음식을 섭취하는 것도 좋은 방법입니다. 스트레스를 줄이고 규칙적인 생활을 유지하는 것도 효과적일 것입니다. 따라서, 결핵 검사와 함께 올바른 생활습관을 유지하는 것도 중요하겠죠.
함께 읽어볼 만한 글입니다
일본 여행 필수 체크리스트, 유심과 맛집 안내
일본 여행 준비물 리스트일본 여행은 여러 매력적인 장소와 독창적인 문화가 가득한 나라입니다. 하지만, 여행 준비는 두려운 일일 수 있습니다. 일본 여행을 준비할 때 고려해야 할 몇 가지 필
rhkdgml.com
배의 효능과 칼로리, 건강에 좋은 음식
배의 효능: 놀라운 건강 효과배는 단순히 맛있는 과일이 아니라, 다양한 건강 효능을 가진 슈퍼푸드입니다. 우리가 일상에서 많이 접하는 이 과일에 대한 영양학적 가치와 효과를 살펴보면, 배
7982.tistory.com
소음인 특성 및 건강 관리법 총정리
소음인 특징소음인, 많은 사람들이 낯선 용어일 수도 있지만, 동양 의학에서는 그 존재가 매우 중요하게 여겨집니다. 소음인은 개인의 체질 중 하나로, 특정한 신체적, 정신적 특성을 지니고 있
rhkdgml.com
결론
결핵 검사에 대한 정보를 종합적으로 살펴보면서, 이 검사가 얼마나 중요한지 다시금 깨닫게 되었습니다. 결핵 검사는 단순한 과정이 아니라, 우리의 건강을 지키기 위한 필수적인 단계입니다. 예방을 통해 결핵의 위험을 줄이면, 건강한 삶을 유지할 수 있을 것입니다. 건강을 보살피는 데 필요한 정보를 잘 활용하시길 바랍니다.
FAQ
1. 결핵 검사 결과는 얼마나 걸리나요?
결핵 검사 결과는 일반적으로 피부 검사에서는 48시간, 혈액 검사에서는 24시간 이내에 확인할 수 있습니다.



2. 결핵 검사 비용은 얼마나 드나요?
결핵 검사 비용은 방법에 따라 1만 원에서 10만 원까지 다양합니다. 지역 보건소에서는 무료 혜택도 제공하니 확인이 필요합니다.
3. 결핵 증상이 나타나면 어떤 조치를 취해야 하나요?
기침이 3주 이상 지속되거나 비염 증상이 나타날 경우 즉시 병원이나 보건소를 방문해 결핵 검사를 받는 것이 중요합니다.